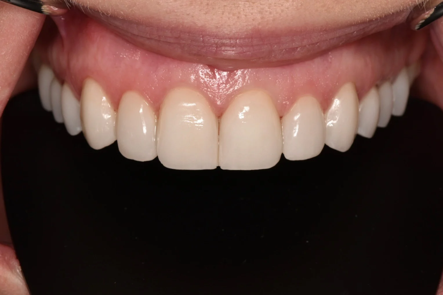
Porcelain Veneers
In just 2-3 short appointments, you can have a smile makeover with 10 veneers of minimally invasive porcelain. Veneers not only link the appearance and look of your teeth, but also shield from further damage and wear to their teeth.
Through meticulous planning and close collaboration, we were able to preserve natural tooth structure while achieving an exceptional aesthetic result. The conservative approach led to optimal comfort and overall oral health benefits.






